Zahnheilkunde
Parodontologie
Bei der Parodontitis handelt es sich um eine bakteriell ausgelöste Entzündung des Zahnhalteapparates, die bei Nichtbehandlung zum Zahnverlust führen kann. Da sie meist schmerzlos bleibt, wird sie von Patienten selten bemerkt. Stress, Rauchen, eine unausgewogene Ernährung, Diabetes sowie eine schlechte Mundhygiene sind die Hauptursachen für eine Parodontitis, erbliche Hintergründe können sich verstärkend auswirken.
Symptome:
Auffälligstes Anzeichen für eine Parodontitis ist Zahnfleischbluten beim Putzen der Zähne. Das Zahnfleisch ist geschwollen und gerötet und zieht sich von den Zähnen zurück, wodurch die Zahnhälse empfindlich reagieren und sich die Zähne lockern. Es kommt zur Sekret- und Eiterentleerung aus den Zahnfleischtaschen. Zudem tritt Mundgeruch auf.
mehr erfahren »
Parodontalbehandlung»
Endodontie
In der Endodontie oder auch Endodontologie wird das Weichgewebe im Zahninneren betrachtet – das Zahnmark. Ziel ist die Erhaltung des Zahnes, unter anderem durch Behandlung des Wurzelkanals. Hierbei wird entzündetes oder abgestorbenes Gewebe entfernt und die Ausbreitung der Keime wird durch Reinigung effizient eingedämmt. Unter Verwendung moderner Methoden kann die Behandlung schonend erfolgen.
mehr erfahren »

zahnärztliche Chirurgie
Dieser Fachbereich umfasst alle Operationen, die in der Mundhöhle eines Patienten vorgenommen werden müssen und Zähne, Kiefer oder das Weichgewebe betreffen. Entzündungen an Weisheitszähnen und Wurzelspitzen oder Zysten und gutartige Tumore müssen chirurgisch behandelt werden. Die Eingriffe können umfangreich ausfallen und zeitlichen Aufwand bedeuten, sind jedoch mit den heute verfügbaren, schonenden Verfahren und entsprechenden Anästhetika sicher und schmerzfrei durchführbar. Wir bieten selbst für kompliziertere Eingriffe bestmögliche Bedingungen für das Wohlbefinden unserer Patienten. In schwierigen Fällen arbeiten wir mit erfahrenen, regionalen Kollegen der Mund-Kiefer-Gesichtschirurgie zusammen.
Weisheitszahnentfernung » Wurzelspitzenresektion »
Digitales Röntgen
Durch die Verwendung moderner digitaler Röntgengeräte sind wir in der Lage, mit möglichst geringer Strahlenbelastung für den Patienten detaillierte Aufnahmen im Kiefergesichtsbereich zu erstellen.
Digitales Volumentomographie (DVT)
Mit 3D-Röntgen kann durch die exakte Bestimmung von Knochenangebot, Stellung der Zähne und Lage schonungspflichtiger anatomischer Strukturen, wie der Nervenbahnen, eine genaue Planung des Eingriffes stattfinden und mögliche Komplikationen können vermieden werden.

Prothetik
Durch unsere jahrelange Erfahrung und unsere Kooperation mit modern ausgestatteten, zertifizierten Dentallaboren aus der Region bieten wir diesbezüglich kompetente Beratung, um für jeden Patienten eine individuelle und optimale Lösung zu finden.
Unsere Partner:

Vollkeramische Restauration
Mit Hilfe des CEREC CAD/CAM-Verfahrens sind wir in der Lage, hochästhetische vollkeramische Kronen und Brücken im eigenen Praxislabor herzustellen. Mittels intraoraler Kamera lässt sich ein zu versorgender Zahn, ohne herkömmlichen Abdruck, digital abformen und die notwendige Versorgung im 3D-Modell konstruieren und passgenau fertigen.
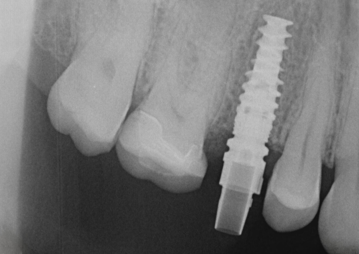
IMPLANTOLOGIE
Ein Zahnimplantat wird im Kieferknochen verankert und übernimmt damit die Funktion einer Zahnwurzel. Das Implantat ermöglicht den festsitzenden oder herausnehmbaren Zahnersatz bei Zahnverlust, wobei der Komfort im Vergleich zu herkömmlichen Varianten erheblich gesteigert wird. Der Eingriff erfolgt unter örtlicher Betäubung.
Mit Hilfe moderner digitaler Implantationsplanung lässt sich im Vorfeld der OP die ideale Implantatgröße und -position im Kiefer festlegen. Der Ablauf der Implantation kann dadurch vereinfacht und Risiken minimiert werden.
Bei entsprechender Pflege und regelmäßiger professioneller Nachsorge durch uns ist ein Verlust von Implantaten nicht zu erwarten.
mehr erfahren »
Fragen?
Wir helfen Ihnen gern. Rufen Sie uns einfach an.
Termin vereinbaren »